Blog
虫歯になりやすい人は歯周病になりにくい?
南烏山歯科クリニックは千歳烏山地域に根ざしたクリニックです。地域の皆さまの健康を支える医療機関として、毎日多くの患者さんにご来院いただいています。
先日、患者さまからこんな質問をいただきました。「虫歯になりやすい人は歯周病になりにくいって本当ですか?」
確かに、こんな噂を耳にしたことがある方もいるかもしれませんね。そこで今回は、この疑問について解説していきたいと思います。
「虫歯になりやすいから歯周病にならない」は本当?
「虫歯になりやすい人は歯周病になりにくい」という話を聞いたことはありませんか? 実は、これは必ずしも正しいとは言えません。
虫歯と歯周病は、どちらも口の中の病気ですが、原因となる細菌の種類や発症のメカニズムが異なります。
ここでは、虫歯になりやすい人、歯周病になりやすい人をまとめました。
虫歯になりやすい人
虫歯は、お口の中の虫歯菌が甘いものをエサにして酸を作り出し、歯を溶かしてしまう病気です。虫歯になりやすい人には、以下のような共通点があります。
- ・甘いものをよく食べる
- ・歯磨き不足
- ・唾液の分泌量が少ない
- ・歯並びが悪い
- ・歯の表面のエナメル質が薄い
当てはまる項目が多いほど虫歯になりやすい傾向にあります。心当たりのある人は、毎日の歯磨きを丁寧に行いましょう。
歯周病になりやすい人
歯周病は、歯周病菌が歯ぐきや歯を支える骨に炎症を引き起こす病気です。歯ぐきが腫れたり、出血したりするだけでなく、放っておくと歯が抜け落ちてしまうこともあります。歯周病になりやすい人は、以下の共通点があります。
- ・たばこを吸っている
- ・歯磨き不足
- ・歯ぎしり・食いしばりをしている
- ・ストレスを感じやすい
- ・糖尿病などの生活習慣病に罹患している
歯ぐきが腫れている、または出血している場合は歯周病の初期症状である可能性があります。早めに歯科医院に受診しましょう。
どちらもなりやすい人
虫歯と歯周病は、どちらもお口の状態の中に存在する細菌が原因です。そのため、甘い物を摂取する量が多く、歯磨き不足の場合は、どちらもかかりやすくなります。
また、不規則な生活、ストレス、偏った食生活などは、お口の中の環境を悪化させる原因となるため注意が必要です。
どちらもなりにくい人
虫歯と歯周病、どちらもなりにくい人もいます。
歯の質や唾液の分泌量は、遺伝的な影響を受けます。歯の質が強く、唾液がたくさん出る人は虫歯菌や歯周病菌から歯を守りやすいです。
また、食後の歯磨きはもちろん、歯間ブラシやデンタルフロスも使って、歯のすみずみまで丁寧にケアしている人も虫歯や歯周病になりにくい傾向にあります。
食生活も重要です。甘いものや炭酸飲料を控え、野菜や果物を中心としたバランスの取れた食事を心がけることで、虫歯や歯周病のリスクを減らせます。
これらの要素が組み合わさることで虫歯や歯周病になりにくい環境が保たれていると考えられます。
検査で分かる自分のタイプ
歯科医院の検査で、虫歯や歯周病になりやすいかどうか「タイプ」がわかります。
まず、虫歯や歯周病が今どんな状態なのかを確認します。歯にプラーク(歯垢)がたくさんついていないか、歯ぐきが腫れていないかなどをチェックします。
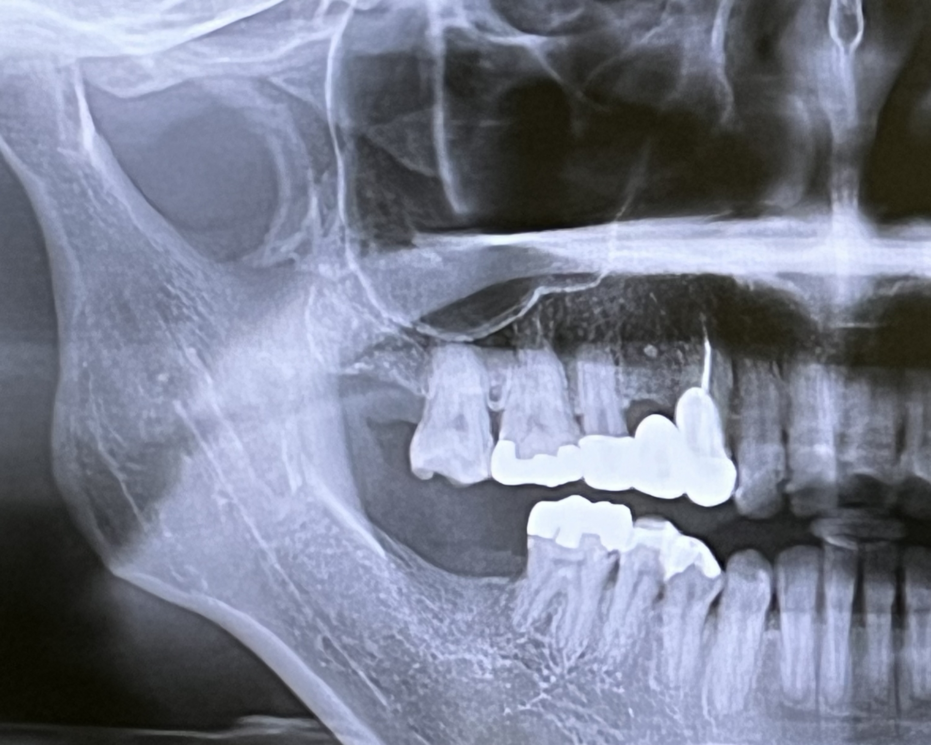
次にレントゲン写真で歯の根っこや歯を支えている骨の状態を調べます。レントゲン写真では、歯周病で骨が溶けてしまっていないか、隠れた虫歯がないかなど、細かいところまで確認します。
歯科医院によってはお口の中の細菌検査や遺伝子検査をすることも。
細菌検査は、お口の中にどんな細菌がどれくらいいるのかを調べる検査です。細菌の種類によって虫歯や歯周病になりやすさが変わるので、どんな細菌が多いのかを知ることは大切です。
遺伝子を調べることで、虫歯や歯周病になりやすいかどうかを予測できる場合があります。自分のリスクを知っておけば、日頃のケアを効果的に行えるでしょう。
まとめ
虫歯も歯周病も予防できる病気です。毎日の歯磨きや規則正しい食生活はもちろん、食生活にも気を配り、3~6ヶ月に1回は痛みなどの症状が無くても歯科検診も受けましょう。
お口の健康を維持するためには、正しい情報に触れることも大切です。歯科医師・歯科衛生士のアドバイスを参考にしながら自分に合ったケア方法を見つけていきましょう。

